治療後の検査
2025.08.23
前回 ビベラリテーナーをもらってから、毎日つけています。
1年くらいは、なるべく一日中つけていて、それから後は就寝時や在宅時につけておけばいいらしいです。
後戻りが嫌なので、頑張って使用したいと思っています。
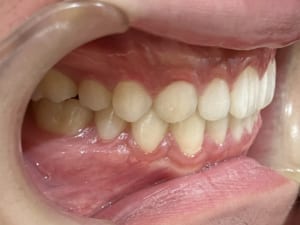
今日は治療前と治療後の比較のために、治療後の検査を受けました。
最初と同じで、写真とレントゲン等を撮りました。
治療費¥3,300


前回 ビベラリテーナーをもらってから、毎日つけています。
1年くらいは、なるべく一日中つけていて、それから後は就寝時や在宅時につけておけばいいらしいです。
後戻りが嫌なので、頑張って使用したいと思っています。
今日は治療前と治療後の比較のために、治療後の検査を受けました。
最初と同じで、写真とレントゲン等を撮りました。
治療費¥3,300

